Medical Pharmacology Chapter 35  Antibacterial Drugs

Section Table of Contents

Site Table of Contents

Previous Page

Next Page

  • The Aminopenicillins:  Ampicillin and Amoxicillin1

    •  

    •  

      Ampicillin

       

    • Amoxicillin
    • Introduction

      • The development of the aminopenicillins in the 1960s represented an important advance in β-lactam antibiotic development.1  

        • The parent compound, penicillin G, was a revolutionary therapeutic agent, but its usefulness was constrained by a narrow spectrum of activity, largely limited to Gram-positive organisms, and its instability in gastric acid.

        • A modification of  the 6-aminopenicillanic acid (6-APA) nucleus was required overcome these limitations while preserving the essential β-lactam ring.2,3

        • The addition of a primary amino group (NH2) to the acyl side chain, creating ampicillin.

          • This modification was consequential in that, at physiological pH, this amino group is positively charged which enhances molecular hydrophilicity and facilitates aminopenicillin uptake through bacterial porin channels.4

             

            •  

          • Generalized Aminopenicillin Structure
            • Note the added amino group with the structure now representing a generalized structure for the aminopenicillins.

              • For ampicillin, R2 is H.

          • Porins are described as beta barrel proteins that act as a pore across cell membranes through which molecules may diffuse. The process involves passive diffusion (non-energy dependent). These molecules are in outer membrane of Gram-negative bacteria as well as some Gram-positive mycobacteria, as examples.

          • The amino modification described above allowed for more favorable ampicillin-porin interactions leading to the antibiotics' extended spectrum activity.

            • For amoxicillin addition of a para-hydroxyl group (-OH) on the phenyl ring creates an even more hydrophilic molecule with dramatically improved oral absorption characteristics.

              • This additional structural modification enhances clinical utility, achieving bioavailability of 74-92% compared to ampicillin's variable 39-54%.7

                • The hydroxyl group creates favorable interaction with transport proteins while maintaining the essential pharmacophore for PBP binding.

              • Aminopenicillins:  Structural Differences between Ampicillin and Amoxicillin
                Ampicillin Amoxicillin
            • The extended spectrum would thus encompass Gram-negative bacteria including non-beta-lactamase-producing Haemophilus influenzae, Escherichia coli, Proteus mirabilis, and Salmonella species.5,6

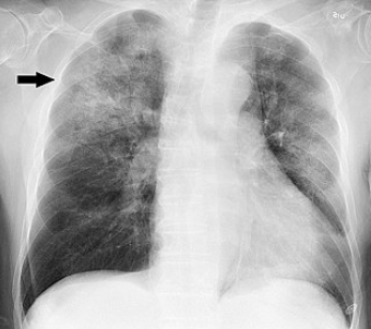
            • "Chest radiograph in influenza and H. influenzae, posteroanterior"
              • "Chest radiograph of an 88 -year-old man, about one week after onset of fever, fatigue, and mild coughing. Lab tests detected both influenza A virus and Haemophilus influenzae. It shows multifocal, patchy consolidation, mainly in the right upper lobe" (arrow).

              • Attribution

                • Mikael Häggström, M.D. Author info - Reusing images- Conflicts of interest:  NoneMikael Häggström, M.D.Consent note: Written informed consent was obtained from the individual, including online publication., CC0, via Wikimedia Commons

              • https://commons.wikimedia.org/wiki/File:Chest_radiograph_in_influensa_and_H_influenzae,_posteroanterior,_annotated.jpg

               

               

    • Mechanism of Action

      • Ampicillin and amoxicillin are aminopenicillins, a subclass of beta-lactam antibiotics.

        • Like all beta-lactams, they exert a bactericidal effect by interfering with bacterial cell wall synthesis.

        • These antibiotic drugs bind to penicillin-binding proteins (PBPs) on bacteria and inhibit the transpeptidation step of peptidoglycan cross-linking, a crucial process for cell wall integrity.8,9 

          • Penicillin-binding proteins (PBPs) represent the specific molecular targets.

          • PBPs are enzymes, membrane-bound transpeptidases and carboxypeptidases that catalyze the final steps of peptidoglycan assembly, including the critical cross-linking of peptide side chains that confers structural integrity to the cell wall.9

          • Inactivation of PBPs by bound aminopenicillins affects PBP function.

          • This blockade in cell wall synthesis leads to activation of autolytic enzymes in the bacteria, causing cell lysis and death.8

            • Cell lysis occurs because, since cells reside in my hypotonic environment, the loss of structural integrity due to disruption of cell wall peptidoglycan structure causes this lysis. Ampicillin is primarily bacteriocidal due to inhibition of cell wall synthesis.9

            • Killing action is time-dependent in that their efficacy depends on the duration that drug concentrations remain above the  minimum inhibitory concentration (MIC) for the targeted bacteria.8  In order to maximize the time above the MIC aminopenicillins are often dosed multiple times per day (or by continuous infusion in serious infections) to maximize the time above MIC.8

        • Amoxicillin and ampicillin have an enhanced Gram-negative spectrum compared to penicillin G, due to an amino side chain that allows better penetration through Gram-negative outer membranes.

          • The aminopenicillins remain vulnerable to bacterial β-lactamases.

          • Mechanisms of resistance to aminopenicillins include enzymatic destruction by beta-lactamase enzymes (penicillinases) that cleave the beta-lactam ring which is the principal mechanism, as well as alterations in PBPs that reduce drug binding (as seen in penicillin-resistant pneumococci and enterococci).5 

          • To overcome β-lactamase–mediated resistance, these drugs are often combined with β-lactamase inhibitors: amoxicillin + clavulanate (oral) or ampicillin + sulbactam (parenteral).10 

            • The inhibitor irreversibly binds to bacterial β-lactamase, protecting the antibiotic from degradation and thereby extending the spectrum to cover many β-lactamase-producing organisms.11

              • Aminopenicillin–inhibitor combinations can effectively treat organisms like H. influenzae, Moraxella catarrhalis, or Staphylococcus aureus that would otherwise degrade amoxicillin or ampicillin.1,8 

              • Some bacteria exhibit intrinsic resistance for example,  Klebsiella and Pseudomonas species appear inherently resistant to ampicillin due to production of penicillinase or other resistance mechanisms.12

August, 2025

Section Table of Contents

Site Table of Contents

 

 

References
  1. MacDougall C Chapter 58 Cell Envelope Disruptors: In Goodman & Gilman's The Pharmacological Basis of Therapeutics (Brunton LL Knollman BC eds) McGraw HIil LLC (2023).

  2. Sauberan J Branley J Antimicrobial agents: Aminopenicillins In Principles and Practice of Pediatric Infectious Diseases (fifth edition) 2018  https://www.sciencedirect.com/topics/nursing-and-health-professions/aminopenicillin

  3. Sharma S Singh L Singh S Comparative Study between Penicillin and Ampicillin. Scholars Journal of Applied Medical Sciences, 2013; 1(4): 291-294. https://www.saspublishers.com/media/articles/SJAMS14291-294_CosOdSI.pdf

  4. Aminopenicillin. https://en.wikipedia.org/wiki/Aminopenicillin

  5. Michelow I McCracken Jr G Feigin and Cherry's Textbook of Pediatric Infectious Diseases (sixth edition): Chapter Therapeutics: Aminopenicillins. https://www.sciencedirect.com/topics/medicine-and-dentistry/aminopenicillin

  6. Aminopenicillins General Statement (Monograph). Drugs.com.  https://www.drugs.com/monograph/aminopenicillins-general-statement.html

  7. Ginsburg C McCracken Jr G Thomas M Clahsen J Comparative pharmacokinetics of amoxicillin ampicillin in infants and children. Pediatrics. 1979 November;64(5): 627-631. https://pubmed.ncbi.nlm.nih.gov/492836/

  8. Akhavan B Khanna N Vijhani P Amoxicillin. StatPearls. National Library of Medicine. https://www.ncbi.nlm.nih.gov/books/NBK482250/#

  9. Peechakara B Basit H Gupta M Ampicillin. StatPearls. National Library of Medicine. https://www.ncbi.nlm.nih.gov/books/NBK519569/#

  10. Drawz S Bonomo R Three decades of beta-lactamase inhibitors. Clin Microbiol Rev. 2010 January;23(1): 160-201. https://pubmed.ncbi.nlm.nih.gov/20065329/

  11. Khanna N Gerriets. Beta-lactamase inhibitors. StatPearls. National Library of Medicine. https://www.ncbi.nlm.nih.gov/books/NBK557592/

  12. Ampicillin. https://en.wikipedia.org/wiki/Ampicillin#

 

This Web-based pharmacology and disease-based integrated teaching site is based on reference materials, that are believed reliable and consistent with standards accepted at the time of development. Possibility of human error and on-going research and development in medical sciences do not allow assurance that the information contained herein is in every respect accurate or complete. Users should confirm the information contained herein with other sources. This site should only be considered as a teaching aid for undergraduate and graduate biomedical education and is intended only as a teaching site. Information contained here should not be used for patient management and should not be used as a substitute for consultation with practicing medical professionals. Users of this website should check the product information sheet included in the package of any drug they plan to administer to be certain that the information contained in this site is accurate and that changes have not been made in the recommended dose or in the contraindications for administration.  Advertisements that appear on this site are not reviewed for content accuracy and it is the responsibility of users of this website to make individual assessments concerning this information.  Medical or other information  thus obtained should not be used as a substitute for consultation with practicing medical or scientific or other professionals.