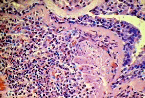
Asthma Inflammation
  • "Bronchial asthma, higher power. Notice inflammatory cells composed of lymphocytes and many eosinophils. There is prominent thickening of the basement membrane. "
  • Ó 1999 KUMC Pathology and the University of Kansas, used with permission; courtesy of Dr. James Fishback, Department of Pathology, University of Kansas Medical Center.