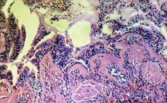
• "Typical microscopic features in the bronchi of asthmatic patients include:
    • thickening of the basement membrane
    • inflammatory infiltrates with eosinophilia
    • hypertrophy and hyperplasia of submucosal glands
    • hypertrophy of smooth muscle
    • goblet cell metaplasia, and luminal plugs composed of mucus
    • shed epithelial cells
    • inflammatory cells
  • This slide of a bronchus shows prominent thickening of the basement"
  • Ó 1999 KUMC Pathology and the University of Kansas, used with permission; courtesy of Dr. James Fishback, Department of Pathology, University of Kansas Medical Center.