Giardia: Microscopy
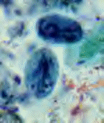
D E F
  • Cysts of Giardia lamblia,stained with iron-hematoxylin (D, E) and in a wet mount (F; from a patient seen in Haiti). 
    • Size: 8 to 12 µm in length.  
    • These cysts have two nuclei each (more mature ones will have four).
  • courtesy of the Division of Parasitic Diseases at the National Center for Infectious Diseases, Centers for Disease Control & Prevention
  • http://www.dpd.cdc.gov/DPDx/HTML/Giardiasis.htm