Malaria - Falciparum
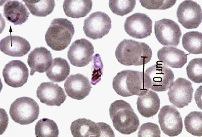
  • "The gametocyte of Falciparum malaria is easily recognizable by its banana shape, making it a likely USMLE question. An arrow in the upper left hand corner points to a ring form, common in all types of malaria (double rings usually mean Falciparum, too)"-J. Fishback
  • Ó 1999 James Fishback, KUMC Pathology and the University of Kansas, used with permission; courtesy of Dr. James Fishback, Department of Pathology, University of Kansas Medical Center.
  • return to main menu