Microscopy: Leishmaniasis
A B
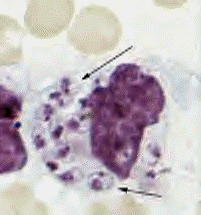
  • Leishmania tropica amastigotes from a skin touch preparation. 
  • In A, a still intact macrophage is practically filled with amastigotes, several of which have clearly visible a nucleus and a kinetoplast (arrows);
  • in B, amastigotes are being freed from a rupturing macrophage.  Patient with history of travel to Egypt, Africa, and the Middle East. 
  • Culture in NNN medium followed by isoenzyme analysis identified the species as L. tropica minor.-CDC http://www.dpd.cdc.gov/DPDx/HTML/Leishmaniasis.htm

  • "Leishmania mexicana mexicana in skin biopsy.  Hematoxylin and eosin stain.  The amastigotes are lining the wall of two vacuoles, a typical arrangement.  The species identification was derived from culture followed by isoenzyme analysis.  26-year old man from Austin, Texas, with a lesion on his left arm."
  • -CDC http://www.dpd.cdc.gov/DPDx/HTML/Leishmaniasis.htm
Primary Reference: