Autonomic pharmacology

Autonomic Pharmacology--Adrenergic Drugs

Previous Page Next Page
Section Table of Contents
Site Table of Contents

Parkinsonism

Frontespiece of James Parkinson's Essay on Shaking Palsy (public domain)

 

Return to top of page

Section Table of Contents
Site Table of Contents

 

Previous Page Next Page

 

 
 

References

  1. Hoffman, B.B and Lefkowitz, R.J, Catecholamines, Sympathomimetic Drugs, and Adrenergic Receptor Antagonists, In Goodman and Gillman's The Pharmacologial Basis of Therapeutics,(Hardman, J.G, Limbird, L.E, Molinoff, P.B., Ruddon, R.W, and Gilman, A.G.,eds) TheMcGraw-Hill Companies, Inc.,1996, pp.199-242

  2. Stoelting, R.K., "Sympathomimetics", in Pharmacology and Physiology in Anesthetic Practice, Lippincott-Raven Publishers, 1999, p. 260

  3. Carotic Baroreceptors:  CRRx:  Mediine ReEnvisioned  http://www.cvrx.com/patients/index.php?id=41

  4. Westfall, TC and Westfall DP Adrenergic Agonists and Antagonists in Goodman and Gilman's The Pharmacological Basis of Therapeutics, eleventh editions, (Brunton LL, Lazo JS and Parker KL, eds), McGraw-Hill Medical Publishing Division, New York, 237-295, 2006.

  5. Catecholamine Biosynthesis:  The Interactive Library; Edinformatics.com:  http://www.edinformatics.com/interactive_molecules/info/adrenaline.htm .

  6. Standaert DG and Young AB Treatment of Central Nervous System Degenerative Disorders In Goodman and Gillman's The Pharmacologial Basis of Therapeutics,(Hardman, J.G, Limbird, L.E, Molinoff, P.B., Ruddon, R.W, and Gilman, A.G.,eds) TheMcGraw-Hill Companies, Inc.,1996, pp536-537.

  7. Adrenergic Neuronal Diagram adapted from http://www.drugabuse.gov/pubs/teaching/Teaching4/Teaching.html

  8. Guanetidine (Ismelin™, brand name not available in the U.S.) pharmacology:  Clinical Pharmacology, RxList:  The Internet Drug Index, http://www.rxlist.com/ismelin-drug.htm .

  9. Williams FM and Turner TJ Adrenergic Pharmacology in Principles of Pharmacology:  The Pathophysiologic Basis of Drug Therapy, 2nd Edition (Golan DE, Tashijan Jr AH, Armstrong EJ and Armstrong AW, eds) Wolters Kluwer-Lippincott Williams & Wilkins, Philadelphia, 129-144, 2008.

  10. Moss J and Glick D Autonomic Function in Anesthetic Pharmacology:  Physiological Principles and Clinical Practice: A Companion to Miller's Anesthesia (Evers AS and Maze M, eds) Churchill Livingstone, Philadelphia, Chapter 14, 209-226, 2004.

  11. Presynaptic Proteins, Synaptic Vesicle Docking and Membrane Fusion, http://neuromuscular.wustl.edu/pathol/snare.htm#cachan, Neuromuscular Disease Center, Washington University, St. Louis, MO USA (http://neuromuscular.wustl.edu/index.html)

    • Sudhof TC The Synaptic Vesicle Cycle, Annual Review of Neuroscience, July 200, Vol. 27, pp 509-547.

  12. Phenochomocytoma picture (http://health-pictures.com/pheochromocytoma.htm); Geneva Foundation of Medical Education and Research, Pheochromocytoma, http://www.gfmer.ch/selected_images_v2/detail_list.php?cat1=1&cat2=113&cat3=22&cat4=2&stype=n .

  13. Brown H, Goldberg PA, Selter JG, Cabin HS, Marieb NJ, Udelsman R and Setaro JF Hemorrhagic Pheochromocytoma Associated with Systemic Corticosteroid Therapy and Presenting as Myocardial Infarction with Severe Hypertension. Clinical Case Seminar, J Clin Endocrinol Metab 2005 90: 563-569. (http://jcem.endojournals.org/cgi/content/full/90/1/563).

  14. "Clevidine (Cleviprex) for IV Treatment of Severe Hypertension", Table 1.  Some Parenteral Drugs for Hypertensive Emergencies.  The Medical Letter® on Drugs and Therapeutics, Volume 50 (Issue 1295) September 22, 2008.

  15. Katzung, BG Introduction to Autonomic Pharmacology (Section II: Autonomic Drugs) in: Basic and Clinical Pharmacology (10th edition), (Katzung BG, ed) McGraw-Hill Medical , New York, pp. 75-92, 2007.

  16. Sympathetic Nerve Pathway:  Neuroeffector Junction ("Simplified diagram of a sympathetic neuroeffector junction displaying genes which may be involved"); PharmGKb modified slightly to highlight uptake1, uptake-2, uptake 1 block, and location of intravesicular norephinephrine synthesis. (Pharmacogenomics Knowledge Base). http://www.pharmgkb.org/search/pathway/neurotransmitter/neuroeffector.jsp .

  17. T.E. Klein, J.T. Chang, M.K. Cho, K.L. Easton, R. Fergerson, M. Hewett, Z. Lin, Y. Liu, S. Liu, D.E. Oliver, D.L. Rubin, F. Shafa, J.M. Stuart and R.B. Altman, "Integrating Genotype and Phenotype Information: An Overview of the PharmGKB Project" (220k PDF), The Pharmacogenomics Journal (2001) 1, 167-170.

  18. Tellioglu T, Robertson D (November 2001). "Genetic or acquired deficits in the norepinephrine transporter: current understanding of clinical implications". Expert Rev Mol Med 2001: 1–10.

  19. Kekuda R, Prasad PD, Wu X, Wang H, Fei YJ, Leibach FH, Ganapathy V (Aug 1998). "Cloning and functional characterization of a potential-sensitive, polyspecific organic cation transporter (OCT3) most abundantly expressed in placenta". J Biol Chem 273 (26): 15971–9.

  20. Amphoux A, Vialou V, Drescher E, Brüss M, Mannoury La Cour C, Rochat C, Millan MJ, Giros B, Bönisch H, Gautron S. (Jun 2006). "Differential pharmacological in vitro properties of organic cation transporters and regional distribution in rat brain.". Neuropharmacology 50 (8): 941–952.

  21. Bourne HR and von Zastrow M "Drug Receptors and Pharmacodyamics" Chapter 2 in Basic and Clinical Pharmacology (10th edition), (Katzung BG, ed) McGraw-Hill Medical , New York, pp. 17-27, 2007.

  22. Muller M Lecture Material Online:  Lecture 6: "Cellular Communication" http://www.uic.edu/classes/bios/bios100/summer2003/lect06.htm.

  23. Bowman T and Jove R STAT Proteins and Cancer:  From the Molecular Oncology Program at the H. Lee Moffitt Cancer Center & Research Institute, Tampa, Florida http://www.moffitt.org/moffittapps/ccj/v6n6/dept6h.htm .

  24. Tong L, Warren TC, King J, Betageri R, Rose J, Jakes S (March 1996). "Crystal structures of the human p56lck SH2 domain in complex with two short phosphotyrosyl peptides at 1.0 A and 1.8 A resolution". J. Mol. Biol. 256 (3): 601–10.

  25. Sadowski I, Stone JC, Pawson T (December 1986). "A noncatalytic domain conserved among cytoplasmic protein-tyrosine kinases modifies the kinase function and transforming activity of Fujinami sarcoma virus P130gag-fps". Mol. Cell. Biol. 6 (12): 4396–4408.

  26. Russell RB, Breed J, Barton GJ (June 1992). "Conservation analysis and structure prediction of the SH2 family of phosphotyrosine binding domains". FEBS Lett. 304 (1): 15–20.

  27. von Zastrow M and  Bourne HR "Drug Receptors and Pharmacodynamics" Chapter 2 in Basic and Clinical Pharmacology (11th edition), (Katzung BG, Masters, SB and Trevor AJ,  eds) McGraw-Hill Medical , New York, on-line version (Access Medicine) 2009.

  28. Powledge TM (2004) Nicotine as Therapy. PLoS Biol 2(11): e404. doi:10.1371/journal.pbio.0020404 (http://www.plosbiology.org/article/info:doi/10.1371/journal.pbio.0020404)

  29. Green T, Heinemann SF and Gusella JF Molecular Neurobiology and Genetics:  Investigation of Neuron Function and Dysfunction (Review) Neuron, Vol. 20, 427-444, March, 1998 (Cell Press (c), 1998).

  30. Unwin N Nicotinic acetylcholine receptor at 9 Å resolution. J. Mol. Biol. 229, 1101-1124.

  31. Eyford, T Adenylyl cyclase http://proteopedia.org/wiki/index.php/Adenylyl_cyclase .

    31 a. Hurley JH. Structure, mechanism, and regulation of mammalian adenylyl cyclase. J Biol Chem. 1999 Mar 19;274(12):7599-602.

    31 b, Zhang G, Liu Y, Ruoho AE, Hurley JH. Structure of the adenylyl cyclase catalytic core. Nature. 1997 Mar 20;386(6622):247-53.

  32. Goodsell DS illustrator, The Scrips Research Institute, public domain work, http://en.wikipedia.org/wiki/Adenylate_cyclase .

  33. Ranganathan R, Ross E (1997). "PDZ domain proteins: scaffolds for signaling complexes.". Curr Biol 7 (12): R770–3

  34. PDZ domain  http://en.wikipedia.org/wiki/PDZ_domain

  35. Biaggioni I and Robertson D Adrenoceptor Agonists & Sympathomimetic Drugs (Chapter 9) in  in Basic and Clinical Pharmacology (11th edition), (Katzung BG, Masters, SB and Trevor AJ, eds) McGraw-Hill Medical , New York, on-line version (Access Medicine) 2009.

  36. Korte E "PIP2 cleavage by PLC to release IP3 and DAG", public domain, http://en.wikipedia.org/wiki/File:PIP2_cleavage_to_IP3_and_DAG.jpg .

  37. McVary KT A review of combination therapy in patients with benign prostatic hyperplasia, Clinical Therapeutics 2007 29 (3):  387-398.

  38. Caine M The present role of alpha-adrenergic blockers in the treatment of benign prostatic hypertrophy. J Urol. 1986; 136:  1-4.

  39. Shapiro E Hartanto V and Lepor H. The response to alpha blockade in benign prostatic hyperplasia is related to the percent area density of prostate smooth muscle. Prostate. 1992; 21:  297-307.

  40. Brittsan AG and Kranias EG Review:  Phosphlakmban and Cardiac Contractile Function. J. Mol Cell Cardiol 32. 2131-2139.

  41. Lomize A Phospholamban Pentamer, protein image from OPM database, public domain media (http://en.wikipedia.org/wiki/File:1zll_opm.gif)

  42. Foex P and Highan H. Myocardial Performance:  Physiological Principles and Clinical Practice: A Companion to Miller's Anesthesia (Evers AS and Maze M, eds) Churchill Livingstone, Philadelphia, Chapter 14, 284-2285, 2004.

    42(a)  Weiss HR Effect of coronary artery occlusion on regional arterial and venous O2 saturation, O2 extraction, blood flow and O2 consumption in the dog heart. Circulation Research 47(3) 400-407, September 1980.

  43. Khouri EM Gregg DE and Rayford CR Effect of exercise on cardiac output, left coronary flow and myocardial metabolism in the unanesthetized dog. Circulation Research 17(5) 327-437, November 1965.

  44. Epicardial Vessels:  Gray's Anatomy, 20th U.S. edition of Gray's Anatomy of the Human Body, originally publishedin 1918, public domain.

  45. Beta-2 Adrenergic Receptor, figure public domain (http://en.wikipedia.org/wiki/File:2RH1.png); original crystallographic citations:

    45 (a) Cherezov V, Rosenbaum DM, Hanson MA, Rasmussen SG, Thian FS, Kobilka TS, Choi HJ, Kuhn P, Weis WI, Kobilka BK, Stevens RC (2007). "High-resolution crystal structure of an engineered human β2-adrenergic G protein-coupled receptor". Science 318 (5854): 1258–65.

    45 (b) Rosenbaum DM, Cherezov V, Hanson MA, Rasmussen SG, Thian FS, Kobilka TS, Choi HJ, Yao XJ, Weis WI, Stevens RC, Kobilka BK (2007). "GPCR engineering yields high-resolution structural insights into β2-adrenergic receptor function". Science 318 (5854): 1266–73.

  46. Westfall, TC and Westfall DP Neurotransmission:  The Autonomic and Somatic Motor Nervous System in Goodman and Gilman's The Pharmacological Basis of Therapeutics, eleventh editions, (Brunton LL, Lazo JS and Parker KL, eds), McGraw-Hill Medical Publishing Division, New York, 137-181, 2006.

  47. Emorine LJ Marullo S Briend-Sutren MM Patey G Tate K Delavier-Klutchko C Strosberg AD Molecular characterization of the human β3-adrenergic receptor. Science, Vol. 245, No. 4922, Sep. 8, 1989, pp. 1118-1121.

  48. Walston J Silver K Bogardus C Knowler W Celi FS Austin S Manning B Strosberg AD Stern MP Raben N Sorkin JD Roth J Shuldiner AR Time of onset of non-insulin-dependent diabetes mellitus and genetic variation in the β3-adrenergic receptor gene.  New England J. of Medicine, Vol. 333 No. 6, August 10, 1995, pp. 343-347.

  49. Hoffman BB Adrenoceptor-Activating & Other Sympathomimetic Drugs in: Basic and Clinical Pharmacology (10th edition), (Katzung BG, ed) McGraw-Hill Medical , New York, pp. 121-140, 2007.

  50. Goodsell, DS, Tyrosine Hydroxylase, The Scripps Research Institute, public domain image, http://en.wikipedia.org/wiki/File:Tyrosine_Hydroxylase.png .

  51. Chemical Synapse, http://schools-wikipedia.org/wp/c/Chemical_synapse.htm .

  52. Frang H Cockcroft V Karskela T Scheinin M Marjamaki A Phenoxybenzamine binding reveals the helical orientation of the third transmembrane domain of adrenergic receptors JBC, 276, 31279-31284, June 6, 2001. http://www.jbc.org/content/276/33/31279.full

  53. Barrett KE Barman SM Boitano S Brooks H "The Adrenal Medulla & Adrenal Cortex" in:  Ganong's Review of Medical Physiology, 23e, Chapter 22, on-line version, 2010.

  54. Achermann JC and Jameson JL "Disorders of Sex Development" in Harrison's Principles of Internal Medicine (eds, Fauci AS Braunwald E Kasper DL Hauser SL Longo DL Jameson JL Loscalzo J), 17th edition, pp 2345-2346, 2008, McGraw-Hill Medical, New York.

  55. Goldenberg M Aranow H Jr Smith AA Faber M Pheochromocytoma and essential hypertensive vascular disease. Arch. Intern. Med. 86: 823-826, 1950.

  56. Carrim YO "The Cardiovascular system, heart muscle; The heart as a pump." http://samedical.blogspot.com/2010/08/heart-muscle-heart-as-pump.html .

  57. "Madhero88" "A graphical representation of the electrical conduction system of the heart showing the sinoatrial node, atrioventricular none, bundle of His, Purkinje fibers and Bachmann's bundle, http://en.wikipedia.org/wiki/File:ConductionsystemoftheheartwithouttheHeart.png .

  58. Ewy GA Cardiopulmonary and Cardiocerebral Resuscitation, Chapter 50,  in Hurst's The Heart, 12th edition (eds, Fuster V O'Rourke RA Wash RA Poole-Wilson P; associate eds: King II SB Roberts R Nash IS Prystowsky EN; Editors of the online edition:  senior editors:  Walsh RA and Simon DI; associate Editors;  Hoit BD Fang JC Costa M), 2008, on-line edition.

    58a. American Heart Association.  2005 American Heart Association guidelines for cardiopulmonary resuscitation and emergency cardiovascular care.  Circulation, 2005; 112 (Suppl IV): IV-1-IV-211.

  59. Mohrman DE and Heller LJ "Vascular Control" Chapter 7, in Cardiovascular Physiology, 6th edition, The McGraw-Hill Companies, Inc, 2006, on-line edition.

  60. Stoelting, RK and Dierdorf, SF, "Asthma" in Anesthesia and Co-Existing Disease, 4th edition, Chapter 14, pp 194-204, Churchill-Livingstone, Philadelphia, 2002

    60a. Kingston, HGG, Hirshman, CA Perioperative management of the patient with asthma. Anesth Analg 1984; 63: 844-55. (second sourced from reference 1)

  61. Roisen, MF, "Anesthetic Implications of Concurrent Diseases" in Anesthesia, 5th edition, (Miller, R.D, editor), Chapter 25, pp 996-997, Churchill-Livingstone, Philadephia 2000.

  62. Barrett KE Barman SM Boitano S Brooks H "Endocrine Functions of the Pancreas & Regulation of Carbohydrate Metabolism" in:  Ganong's Review of Medical Physiology, 23e, Chapter 21, on-line version, 2010.

  63. Narayanese and YassineMrabet, Citric acid cycle (Tricarboxylic acid cycle), public domain, GNUU Free Documentation License, http://en.wikipedia.org/wiki/Citric_acid_cycle .

  64. Elayat AA, el-Naggar MM, Tahir M (1995). "An immunocytochemical and morphometric study of the rat pancreatic islets". Journal of Anatomy 186 (Pt 3): 629–37. (http://www.ncbi.nlm.nih.gov/pmc/articles/PMC1167020/pdf/janat00134-0170.pdf)

    64a.  Islets of Langerhans;  http://en.wikipedia.org/wiki/Islets_of_Langerhans

  65. Süß C Sukale J Solima M "light microscopy of a paraffin embedded mouse islet; labels: insulin green, glucagon red, nuclei blue" Solimena Lab, Med. Fac., University of Technology, Dresden, Germany.  http://en.wikipedia.org/wiki/File:Mouse_islet_LM_SolimenaLab.jpg .

  66. http://en.wikipedia.org/wiki/File:PDB_3tgl_EBI.jpg courtesy:  http://www.ebi.ac.uk/

  67. Chapus C, Rovery M, Sarda L, Verger R (1988). "Minireview on pancreatic lipase and colipase". Biochimie 70 (9): 1223–1234.

  68. Barrett KE Barman SM Boitano S Brooks H "General Principles & Energy Production in Medical Physiology in:  Ganong's Review of Medical Physiology, 23e, Chapter 1, on-line version, 2010.

  69. Austgen L and Bowen R "Brown Adipose Tissue" http://www.vivo.colostate.edu/hbooks/pathphys/misc_topics/brownfat.html .

  70. Ropper AH and Samuels MA "Ion Channel Disorders:  The periodic paralyses and hereditary nondystrophic mytonias (Channelopathies) in Adams & Victor's Principles of Neurology, 9e, 2009, online edition.

  71. Estelle F Simons R Gu X and Simons KJ Epinephrine absorption in adults:  Intramuscular versus subcutaneous injection J Allergy Clin Immunol 2001; 108:  871-873.

  72. Flavine Adenine Dinucleotide (FAD) public domain images http://en.wikipedia.org/wiki/Flavin_adenine_dinucleotide .

  73. Axelrod J (August 1957). "O-Methylation of Epinephrine and Other Catechols in vitro and in vivo". Science 126 (3270): 400–1.

  74. Entacapone PubMed Health http://www.ncbi.nlm.nih.gov/pubmedhealth/PMH0000168 .

  75. Dopamine Degradation by "Neurotiker", public domain image, http://en.wikipedia.org/wiki/File:Dopamine_degradation.svg .

  76. Haggstrom M Breakdown of norepinephrine, public domain inkscape http://en.wikipedia.org/wiki/File:Noradrenaline_breakdown.svg .

  77. Fvasconcellos "Cartoon diagram of human catechol-O-methyl transferase (COMT) in complex with S-adenosyl methionine and 3,5-dinitrocatechol; public domain drawing.

    77a. Rutherford K, Le Trong I, Stenkamp RE, Parson WW (June 2008). "Crystal structures of human 108V and 108M catechol O-methyltransferase". J Mol Biol 380 (1): 120–30, http://www.rcsb.org/pdb/explore/explore.do?structureId=3BWM .

  78. Stoelting, R.K., "Local Anesthetics", in Pharmacology and Physiology in Anesthetic Practice, Lippincott-Raven Publishers, 1999, pp 158-181.
  79. Parrmann C Decision Making and Local Anesthesia Dimensions of Dental Hygiene, October 2008; 6(10): 24. http://www.dimensionsofdentalhygiene.com/ddhright.aspx?id=2384 .
  80. Allwood MJ Cobbold AF and Ginsberg J. Peripheral vascular effects of noradrenaline, isopropylnoradrenaline, and dopamine.  Br. Med. Bull., 1963, 19:  132-136.
  81. Bloom FE Neurotransmission and the Central Nervous System in Goodman and Gilman's The Pharmacological Basis of Therapeutics, eleventh editions, (Brunton LL, Lazo JS and Parker KL,eds)McGraw-Hill Medical Publishing Division, New York, 317-340  2006.
  82. The dopamine pathways in the brain, Lundbeck Institute, CNSforum, Educational Resources, Image Bank, http://www.cnsforum.com/imagebank/item/Neuro_path_DA/default.aspx .
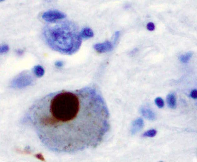
  83. Diseases associated with abnormalities in the basal ganglia, Lundbeck Institute, CNSforum, Educational Resources, Image Bank, http://www.cnsforum.com/imagebank/item/brain_struc_bagang_ALZ/default.aspx .
  84. Factor SA and Weiner WJ Molecular Characterization of Dopamine Receptors in Parkinson's Disease:  Diagnosis and Management http://www.ncbi.nlm.nih.gov/bookshelf/br.fcgi?book=parkinsons&part=A2249 .
  85. Dopamine receptors-7- transmembrane spanning, G-protein coupled receptors, Lundbeck Institute, CNSforum, Educational Resources, Image Bank, http://www.cnsforum.com/imagebank/item/D_struc_level2/default.aspx .
  86. Standaert DG and Galanter JM Pharmacology of Dopaminergic Neurotransmission  in Principles of Pharmacology:  The Pathophysiologic Basis of Drug Therapy, 2nd Edition (Golan DE, Tashijan Jr AH, Armstrong EJ and Armstrong AW, eds) Wolters Kluwer-Lippincott Williams & Wilkins, Philadelphia, 185-206, 2008.
  87. Dopamine receptor subtypes, Lundbeck Institute, CNSforum, Educational Resources, Image Bank, http://www.cnsforum.com/imagebank/item/DA_rcpt_subtypes/default.aspx .
  88. D2 receptor antagonist,  Lundbeck Institute, CNSforum, Educational Resources, Image Bank, http://www.cnsforum.com/imagebank/item/hrl_rcpt_sys_DA2_antag/default.aspx .
  89. Henkel J Structure of the basal ganglia, including thalamus, globus paladus, substantia nigra and cerebellum, http://en.wikipedia.org/wiki/File:Basal_Ganglia_and_Related_Structures.svg .
  90. Dopamine and Serotonin pathways, http://en.wikipedia.org/wiki/File:Dopamineseratonin.png .
  91. Valeryns G-protein receptor http://en.wikipedia.org/wiki/File:7TM4_(GPCR).png
  92. Bensaccount G-protein coupled receptor http://en.wikipedia.org/wiki/File:7TM4_(GPCR).png .
  93. Jahnichen S Activation cycle of G-proteins by G-protein-coupled receptors, http://en.wikipedia.org/wiki/File:GPCR-Zyklus.png .
  94. Raashid AS So CH Kong MMC Furtak T El-Ghundi M Cheng R O'Dowd BF George SR D1-D2 dopamine receptor heterooligomers with unique pharmacology are couple to rapid activation of Gq/11 in the striatum. PNAM, January 9, 2007, 104(2): 654-659.
  95. Dopamine Pathways, NIDA Research Report Series--Methamphetamine Abuse and Adiction, http://en.wikipedia.org/wiki/File:Dopamine_Pathways.png .
  96. Davie CA (2008). "A review of Parkinson's disease". Br. Med. Bull. 86: 109–27.

    96a."Madhero88" Midbrain Section http://commons.wikimedia.org/wiki/File:Midbrainsection.svg .

    96b Hauser RA Parkinson's Disease:  Early Diagnosis and Treatment http://www.youtube.com/watch?v=T8lXjNUMaWA .

  97. Haggstrom M (images by Gillies A, (Araru) and Lynch PJ Basal Ganglia Circuits, http://en.wikipedia.org/wiki/File:Basal_ganglia_circuits.svg  .

  98. Gillies A Classic connectivity diagram of the basal ganglia, showing glutamatergic pathways  as red, dopaminergic as magenta and GABA pathways as blue. http://en.wikipedia.org/wiki/File:Basal-ganglia-classic.png .

  99. Gillies A (Araru) basal-ganglia-coronal-sections, http://commons.wikimedia.org/wiki/File:Basal-ganglia-coronal-sections-large.png .

    99a Fisch A Basal Ganglia- Drawit to Know it- Neuroantomy Tutorial,  http://www.youtube.com/watch?v=-5PXAUdWDgU . Draw it to know it site:   http://www.drawittoknowit.com/  .

  100. Burns JM Wilkinson S Kieltyka J Overman J Lundsgaarde T Tollefson T Koller WC Pahwa R Troster AI Lyons KE Batnitzky S Wetzel L and Gordon MA Analysis of pallidotomy lesion positions using three-dimensional reconstruction of pallidal lesions, the basal ganglia, and the optic tract.  Neurosurgery 41(6), December 1997, pp 1303-1318.

    100a.  Thomas BG, Insertion of an electrode during deep brain stimulation for Parkinson's disease. http://en.wikipedia.org/wiki/File:Parkinson_surgery.jpg .

    100b. Deep brain simulation for Parkinson's Disease, http://www.youtube.com/watch?v=IOHtUzW02cg .

  101. Standaert DG and Young AB Treatment of Central Nervous System Degenerative Disorders:  In Goodman and Gillman's The Pharmacological Basis of Therapeutics, (Brunton LL, Lazo JS and Parker KL,eds) The McGraw-Hill Companies, Inc., 2006, pp.527-538.

  102. Cotzias GC Papavasilious PS Gellene R Modification of Parkinsonism:  Chornic treatment with L-DOPA. New Engl. J. Med., 19769, 280:  337-345. (cited by primary reference 101)

  103. Hornykiewicz O. Dopamine in the basal ganglia:  Its role and therapeutic indictions (including the clinical use of L-DOPA).  Br. Med. Bull., 1973, 29:  172-178. (cited by primary reference 101)

  104. "Marvin 101" Immunohistochemistry for alpha-synuclein showing positive staining (brown of an intraneural Lewy-body in the Substantia nigra in Parkinson disease. August 2009, http://en.wikipedia.org/wiki/File:Lewy_Body_alphaSynuclein.jpg .

  105. Beal JA Frontal (Coronal) section of the brain http://en.wikipedia.org/wiki/File:Human_brain_frontal_(coronal)_section_description_2.JPG .

  106. Sudarsky Lewis, "Chapter 24. Gait and Balance Disorders" (Chapter). Fauci AS, Braunwald E, Kasper DL, Hauser SL, Longo DL, Jameson JL, Loscalzo J: Harrison's Principles of Internal Medicine, 17e, 2008, on-line edition.

    106a. Parkinsonian Gait Demonstration http://www.youtube.com/watch?v=j86omOwx0Hk .

  107. Sir William Richard Gowers, neurologist, researcher and artist, drew this illustration in 1886 as part of his documentation of Parkinson's Disease. The image appeared in his book, A Manual of Diseases of the Nervous System, still used today by medical professionals as a primary reference for this disease. (public domain due to copyright expiration). http://commons.wikimedia.org/wiki/File:Sir_William_Richard_Gowers_Parkinson_Disease_sketch_1886.svg .

  108. DeLong Mahlon R, Juncos Jorge L, "Chapter 366. Parkinson’s Disease and Other Extrapyramidal Movement Disorders" (Chapter). Fauci AS, Braunwald E, Kasper DL, Hauser SL, Longo DL, Jameson JL, Loscalzo J: Harrison's Principles of Internal Medicine, 17e,2008, on-line edition.

    108a Silver D Parkinson's Disease Dementia MDTV http://www.youtube.com/watch?v=ZPnpmVWU0Hk . UCtelevision, January 31, 2008.

  109. Alpha-synuclein http://en.wikipedia.org/wiki/Alpha-synuclein .

    109a. Uéda K, Fukushima H, Masliah E, Xia Y, Iwai A, Yoshimoto M, Otero DA, Kondo J, Ihara Y, Saitoh T (December 1993). "Molecular cloning of cDNA encoding an unrecognized component of amyloid in Alzheimer disease". Proc. Natl. Acad. Sci. U.S.A. 90 (23): 11282–6.

    109b. Xia Y, Saitoh T, Uéda K, Tanaka S, Chen X, Hashimoto M, Hsu L, Conrad C, Sundsmo M, Yoshimoto M, Thal L, Katzman R, Masliah E (October 2001). "Characterization of the human alpha-synuclein gene: Genomic structure, transcription start site, promoter region and polymorphisms". J. Alzheimers Dis. 3 (5): 485–494.

    109c. Xia Y, Saitoh T, Uéda K, Tanaka S, Chen X, Hashimoto M, Hsu L, Conrad C, Sundsmo M, Yoshimoto M, Thal L, Katzman R, Masliah E (2002). "Characterization of the human alpha-synuclein gene: Genomic structure, transcription start site, promoter region and polymorphisms: Erratum p489 Fig 3". J. Alzheimers Dis. 4 (4): 337.

  110. Cookson MR Events in alpha synuclein toxicty http://en.wikipedia.org/wiki/File:Events_in_alpha_synuclein_toxicity.jpg . (Cookson Molecular Neurodegeneration 2009 4:9) .

  111. Kitada T, Asakawa S, Hattori N, Matsumine H, Yamamura Y, Minoshima S, Yokochi M, Mizuno Y, Shimizu N (April 1998). "Mutations in the parkin gene cause autosomal recessive juvenile parkinsonism". Nature 392 (6676): 605–8.

  112. Matsumine H, Yamamura Y, Hattori N, Kobayashi T, Kitada T, Yoritaka A, Mizuno Y (April 1998). "A microdeletion of D6S305 in a family of autosomal recessive juvenile parkinsonism (PARK2)". Genomics 49 (1): 143–6

  113. ENW Structure of the PARK2 protein http://en.wikipedia.org/wiki/File:Protein_PARK2_PDB_1iyf.png .

    113a. Parkin (ligase) http://en.wikipedia.org/wiki/Parkin_(ligase) .

  114. Lohmann E, Periquet M, Bonifati V, Wood NW, De Michele G, Bonnet AM, Fraix V, Broussolle E, Horstink MW, Vidailhet M, Verpillat P, Gasser T, Nicholl D, Teive H, Raskin S, Rascol O, Destée A, Ruberg M, Gasparini F, Meco G, Agid Y, Durr A, Brice A (2003). "How much phenotypic variation can be attributed to parkin genotype?". Ann. Neurol. 54 (2): 176–85.

  115. PARK7 Gene, NIH Genetic home reference:  http://ghr.nlm.nih.gov/gene/PARK7 .

  116. UCHL1 gene (PARK5), NIH Genetic home reference:  http://ghr.nlm.nih.gov/gene/UCHL1 .

  117. LRRK2 gene (PARK8), NIH Genetic home reference:  http://ghr.nlm.nih.gov/gene/LRRK2 .

  118. Aminoff MJ and Kerchner GA Nervous System Disorders, Chapter 24 in Current Medical Diagnosis & Treatment 2011 (McPhee SJ, Papadakis MA, eds. Rabow MW, Associate Ed) McGraw-Hill, Fiftieth edition, 2011, on-line edition.

  119. Kayser-Fleischer Ring http://en.wikipedia.org/wiki/Kayser%E2%80%93Fleischer_ring .

  120. Mattheis E  Kayser-Fleicher Ring http://www.gourmandizer.com/wilsons/kf2.html .

  121. Finkbeiner S Gladstone Institute of Neurological Disease, The Taube-Koret Center for Huntington's Disease Research, and the University of California San Francisco, http://en.wikipedia.org/wiki/File:Neuron_with_mHtt_inclusion.jpg and http://www.ninds.nih.gov/news_and_events/news_articles/pressrelease_huntington's_inclusion_bodies_101304.htm .

  122. Collinge J, UCL Insitute of Neurology, Department of Neurodegenerative Disease, National Hospital for Neurology & Neurosurgery, London (http://www.ion.ucl.ac.uk/departments/neurodegeneration) Creutzfeldt-Jakob disease (CJD) http://www.youtube.com/watch?v=vKGXnwXrPCQ .

This Web-based pharmacology and disease-based integrated teaching site is based on reference materials, that are believed reliable and consistent with standards accepted at the time of development. Possibility of human error and on-going research and development in medical sciences do not allow assurance that the information contained herein is in every respect accurate or complete. Users should confirm the information contained herein with other sources. This site should only be considered as a teaching aid for undergraduate and graduate biomedical education and is intended only as a teaching site. Information contained here should not be used for patient management and should not be used as a substitute for consultation with practicing medical professionals. Users of this website should check the product information sheet included in the package of any drug they plan to administer to be certain that the information contained in this site is accurate and that changes have not been made in the recommended dose or in the contraindications for administration.  Advertisements that appear on this site are not reviewed for content accuracy and it is the responsibility of users of this website to make individual assessments concerning this information.  Medical or other information  thus obtained should not be used as a substitute for consultation with practicing medical or scientific or other professionals.